水辺にひっそりと生える、 ニラそっくりで不思議なグループ。 日本に4(または5)種1変種あり、 その中でこのミズニラが最も身近に見られます。 タネではなく胞子で殖えるシダ植物ですが、 ワラビなど大部分のシダと大きく異なる「小葉植物」というグループに含まれます。 なんと1億年以上前からほとんど姿を変えず生き残ってきたため、 「生きた化石」と呼ばれています。 3億年前の石炭紀から知られる古代樹木リンボクの生き残りだという説もあります。
しかし、 そんな途方もない年月を生き延びてきても、 湿地の開発や除草剤、 アメリカザリガニの増加といった近年の人間活動で数がぐんと減ってしまいました。 2020年の環境省のレッドリストで、 ミズニラは準絶滅危惧(NT)に指定されています。 とはいえ、 このランク自体は低めで、 今でも自然が残る湿地や農薬を使っていない田んぼで多く見られることがあります。 じっくり探してみると、 案外ひょっこり出会えるかもしれません。
ミズニラ
胞子で増える! ニラっぽいシダ植物
特徴
単子葉類みたいな姿をしていますが、 これでもシダ植物。 湿地などに生え、 葉の付け根に胞子を多くつけます。 イネ科やカヤツリグサ科の草花に似ていますが、 花が咲かず、 葉がやわらかくて折れやすいです。 食用にはされません。
葉の長さ : 10~50cm、 時に100cm
観察の時期 : 春~秋(夏緑性)、 環境次第で一年草や常緑の多年草
生える場所 : 低地の水田や池沼、 小川
分布 : 本州、 四国、 朝鮮
ミズニラ科のシダ植物
2つの大きさの胞子
ミズニラの葉の基部をじっくり観察すると、 大胞子のみつくる「大胞子のう」、 もしくは小胞子のみつくる「小胞子のう」を見つけることができます。 これを異形胞子性といい、 大胞子はメス、 小胞子はオスの役割があります。
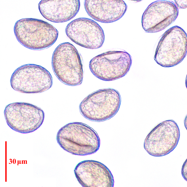
この胞子ですが、 じつはミズニラ科の種類を見分けるために必要不可欠な特徴です。 ミズニラの近縁種はヒメミズニラを除いて外見がよく似ていて、 分類するには胞子の表面を顕微鏡で観察する必要があります。 それでもオオアカウキクサなどと異なり、 よく似た外来種が今のところ野生化しておらず、 ミズニラ科を見かけたらとりあえず保護対象とできるのは幸いかもしれません。 以下は日本に分布するミズニラ科の①大胞子、 ②小胞子、 ③その他の特徴です。
●ミズニラ : ①ハチの巣状、 ②ほぼ平滑
●ミズニラモドキ : ①ハチの巣状、 ②刺状突起多数
●シナミズニラ : ①不規則なうね状、 ②刺状突起多数で長さ30μm以下
●オオバシナミズニラ : ①不規則なうね状、 ②刺状突起多数で長さ30μm以上
●ヒメミズニラ : ①小さな刺状で直径600μm以下、 ②ほぼ平滑、 ③高山の水中に生えて、 葉はより細くて気孔がほとんどなく、 胞子のうが蓋膜に覆われる
●チシマミズニラ : ①破れた網目状で、 隆起線沿いに微細な突起が密につき、 直径600μm以上、 ②低い突起多数、 ③北海道の大雪山や知床などに記録があるがヒメミズニラの誤認といわれ、 一般的に知られる分布域はヨーロッパであり、 生えていない可能性の方が高い
